MENU
  • pin 11 George Street Huntingdon PE29 3BD
Contact Us 01480 453 003
  • pin 11 George Street Huntingdon PE29 3BD
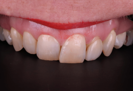
Before - Wensleydale Dental

Before

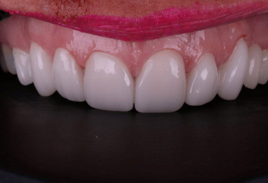
After - Wensleydale Dental

After

Case 4

For more information regarding this treatment
Contact Us OR CALL 01480 453 003
Back to Smile Gallery

General Dentistry

Innovative comfortable solutions for all your dentistry needs.

Learn More

Cosmetic Dentistry

Delivering life-changing smiles and ensuring excellent dental health.

Learn More

Teeth Straightening

We offer discreet and effective teeth straightening treatments.

Learn More

Dental Implants

Dental implants – designed to revitalise a smile and restore your bite.

Learn More

Advanced Dentistry

We deliver high-quality dental care supported by ongoing learning.

Learn More

Facial Aesthetics

Allow us to take away the years with our age-defying aesthetic treatments.

Learn More

General Dentistry

Innovative comfortable solutions for all your dentistry needs.

Learn More

Cosmetic Dentistry

Delivering life-changing smiles and ensuring excellent dental health.

Learn More

Teeth Straightening

We offer discreet and effective teeth straightening treatments.

Learn More

Dental Implants

Dental implants – designed to revitalise a smile and restore your bite.

Learn More

Advanced Dentistry

We deliver high-quality dental care supported by ongoing learning.

Learn More

Facial Aesthetics

Allow us to take away the years with our age-defying aesthetic treatments.

Learn More

Testimonials

Victoria and her nurse are absolutely wonderful, beautiful and talented women. I love coming into the practice for treatment, and I always leave with a smile on my face. Highly...

Janet W

star 1 star 2 star 3 star 4 star 5

I've been going here since I was a child, but haven’t been for 2 years like most, due to covid! I managed to get a check-up booked in. Lovely friendly...

Lucy G

star 1 star 2 star 3 star 4 star 5

I have found Wensleydale Practice very helpful and friendly. The children and I all regularly attend to see Charlotte. Charlotte is always very friendly and helps the children feel relaxed...

Anita R

star 1 star 2 star 3 star 4 star 5

Amazing staff who make you feel safe and comfortable. I would rate this practice 5 stars for politeness and professionalism. Very helpful staff, and an amazing receptionist too who was...

Kelly D

star 1 star 2 star 3 star 4 star 5

Exceptional dentist practice, friendly and family-run, and all the staff are great. The practice has some really advanced 3D scanning equipment that goes to the onsite lab to make crowns...

Tom N

star 1 star 2 star 3 star 4 star 5

I am over the moon with all the staff at Wensleydale Practice, especially Mandeep & Linzi, who have gone out of their way to accommodate a lot of dental work...

Andrew C

star 1 star 2 star 3 star 4 star 5

Victoria and her nurse are absolutely wonderful, beautiful and talented women. I love coming into the practice for treatment, and I always leave with a smile on my face. Highly...

Janet W

star 1 star 2 star 3 star 4 star 5

I've been going here since I was a child, but haven’t been for 2 years like most, due to covid! I managed to get a check-up booked in. Lovely friendly...

Lucy G

star 1 star 2 star 3 star 4 star 5

I have found Wensleydale Practice very helpful and friendly. The children and I all regularly attend to see Charlotte. Charlotte is always very friendly and helps the children feel relaxed...

Anita R

star 1 star 2 star 3 star 4 star 5

Amazing staff who make you feel safe and comfortable. I would rate this practice 5 stars for politeness and professionalism. Very helpful staff, and an amazing receptionist too who was...

Kelly D

star 1 star 2 star 3 star 4 star 5

Exceptional dentist practice, friendly and family-run, and all the staff are great. The practice has some really advanced 3D scanning equipment that goes to the onsite lab to make crowns...

Tom N

star 1 star 2 star 3 star 4 star 5

I am over the moon with all the staff at Wensleydale Practice, especially Mandeep & Linzi, who have gone out of their way to accommodate a lot of dental work...

Andrew C

star 1 star 2 star 3 star 4 star 5
View All Testimonials

Contact

Get in Touch

Follow us on Instagram

thumb1 instagram
thumb2 instagram
thumb3 instagram
thumb4 instagram
thumb5 instagram
Google rating
4.5
Google rating
Google Rating